首页
走进江南
校长寄语
学校简介
组织机构
校友风采
政策法规
校园新闻
党建之窗
制度建设
组织建设
文化建设
廉政建设
教务时空
教务信息
课程改革
学科建设
名师风采
德育在线
德育信息
德育活动
家长学校
教研天地
教研信息
研究成果
团队风采
精彩活动
国旗下讲话
团队建设
江南之星
工会后勤
教工之家
书香校园
后勤服务
专题创建
国际理解教育
不忘初心,牢记使命
安全专栏
文明城市创建
出彩江南人
您现在的位置:首页 >> 教务时空 >> 学科建设 >> 正文
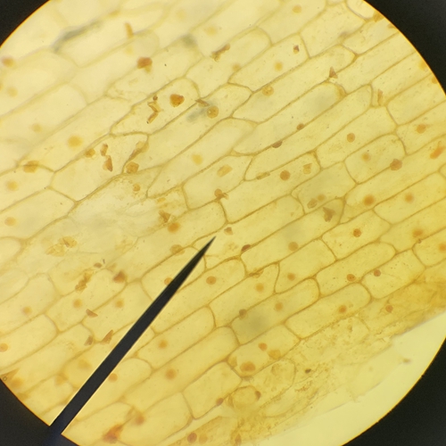
生物组:生物实验技能操作竞赛
作者:管理员 发布时间:2019-05-10 浏览次数:

5月9日,江南中学生物学科组举行生物实验技能操作竞赛。

竞赛内容为制作和观察洋葱鳞片叶内表皮细胞,并绘制显微镜下的洋葱鳞片叶表皮细胞图。本次实验竞赛采用新型显微镜,学生观察效果好。竞赛过程中,学生操作认真规范,体现了良好的科学素养。

本次竞赛进一步激发学生学习生物的积极性,锻炼并规范了学生的实验技能操作。